人可以笑死吗?答案是会的,虽然概率极低,但是笑死的例子从古希腊到现代都有记载。
19世纪的德国画家安森·费尔巴哈有一幅画作:《诗人阿雷蒂诺之死》。
诗人阿雷蒂诺之死
画作中大家都很轻松欢愉,只有一个人倒在地上,他正是阿雷蒂诺,不幸的是他已经去世,死因是笑得太厉害窒息而死。
1989年,一位名叫奥勒 · 本岑(Ole Bentzen)的丹麦听力学家在看电影《一条叫旺达的鱼》,这是一部喜剧片,片中有一个情节:一名演员的鼻子里塞满了薯条。
然后他大笑不止,心率上升到每分钟250-500次,接着就心脏病发作去世了。
一般来说,笑到死的人心脏都多少有点问题,一旦情绪激动,笑得上气不接下气,摄氧不足导致心率过快,进而导致心脏骤停或窒息死亡。
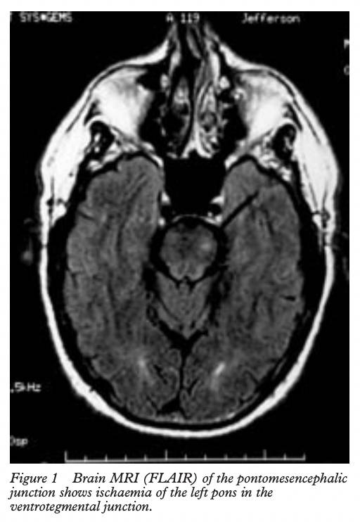
不过也有因为大脑出现罕见疾病,比如脑桥和延髓的梗塞,可能导致情感不稳定,进而无法控制大笑的情绪,结局有可能是晕厥,也有可能是死亡。
2001年一篇发表在《神经外科精神病学杂志》记载了一则罕见病例,一名65岁的男子出现了无法控制的大笑,随后短暂的右臂麻痹,同时右半边面部神经麻痹,偶尔哭泣。磁共振血管造影(MRA)和血管造影显示左脑桥和小脑小面积梗死、左椎动脉闭塞、右椎动脉和基底动脉狭窄。之后,他的病情恶化为双侧脑干梗塞,最终死亡。
所以,人笑死是有可能的。
